Przejdź do treści

Oprogramowanie do identyfikacji twarzy w medycynie

1 minuta czytania

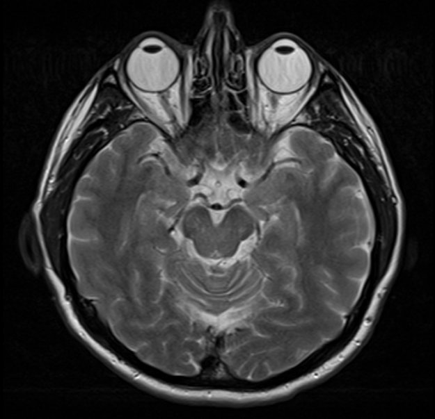
Badania naukowców z Mayo Clinic pokazały, że oprogramowanie do rozpoznawania twarzy może zidentyfikować człowieka wyłącznie na podstawie obrazu rezonansu magnetycznego.

Oprogramowanie służące do rozpoznawania twarzy jest dużo bardziej zaawansowane, niż mogłoby się wydawać.„ The Wall Street Journal” poinformował o badaniach, jakie przeprowadzili badacze Mayo Clinic – niezależnej organizacji non-profit zajmującej się medycyną. Jak się okazało, obecnie istniejące programy są w stanie zidentyfikować człowieka nawet przy pomocy skanu jego organizmu.

Naukowcy odkryli, że na podstawie istniejącego już teraz oprogramowania do identyfikacji twarzy są w stanie w 83% przypadków dopasować pacjenta do jego obrazu MRI (rezonans magnetyczny). Badanie MRI pozwala m.in. na określenie stanu mózgu oraz rdzenia kręgowego. Pozwala też wykryć tętniaki oraz rozwój udaru.

Fakt ten potencjalnie naraża pacjentów szpitali na wyciek ich wrażliwych danych medycznych. Christopher Schwarz z Mayo Clinic stwierdził, że sprawa zainteresowała go, gdy dostrzegł, jak wysoką jakość mają obrazy służące do badania Alzheimera oraz demencji.

Eliot Siegel, profesor radiologii z Mayo Clinic, twierdzi jednak, że zagrożenie wbrew pozorom nie jest duże. Oprogramowanie było w stanie z 83% skutecznością powiązać człowieka z jego rezonansem magnetycznym przy grupie badawczej złożonej z 84 pacjentów. W praktyce jest ich dużo więcej, co powinno wydłużyć znacząco czas operacji i zmniejszyć jej skuteczność.

0 komentarzy

Zostaw komentarz